Forum Anasayfası Forum Anasayfası > Çocuk Sağ. ve Hastalıkları Uzm. Dr. Kadir Tuğcu > Çocuk Sağ. ve Hastalıkları Uzm. Dr. Kadir Tuğcu
  Yeni Mesajlar Yeni Mesajlar RSS - zatürre teşhisi ve tahlil sonucu
  SSS SSS  Forumu Ara   Kayıt Ol Kayıt Ol  Giriş Giriş

zatürre teşhisi ve tahlil sonucu

 Yanıt Yaz Yanıt Yaz
Yazar
Mesaj
  Konu Arama Konu Arama  Konu Seçenekleri Konu Seçenekleri
elfkynr Açılır Kutu Gör
Üye
Üye


Kayıt Tarihi: 19 Ara 2022
Durum: Aktif Değil
Puanlar: 5
Mesaj Seçenekleri Mesaj Seçenekleri   Teşekkürler (0) Teşekkürler(0)   Alıntı elfkynr Alıntı  Yanıt YazCevapla Mesajın Direkt Linki Konu: zatürre teşhisi ve tahlil sonucu
    Gönderim Zamanı: 23 May 2024 Saat 18:40
İyi günler doktor bey.Yazılarını dikkatle okudum.İkilemde kaldığımız için size danışmadan yeniden hata yapmak istemiyorum.
38,39 civarı seyreden ateş ile takip ettik.3 gün sonra şiddetli  öksürük ve halsizlik devam etti doktor kontrolü sonrası agumentin es 600 antibiyotikverildi.Antibiyotik bitiminde yeniden yüksek ateş hırıltılı öksürük ile zatürre teşhisi kondu.Akciğer seslerinde tıkanıklık dendi.Hava ve antibiyotik verildi tekrar.Ne yapalım? Değerler şu şekilde:WBC sayısı 31,53 H bin/uL 4,49 - 12,68

RBC sayısı 5,30 H milyon/uL 3,92 - 5,08

Hemoglobin 14,3 g/dL 11,9 - 14,6

Hematokrit 41,2 % 36,6 - 44 39

MCV 77,7 L fL 81,8 - 95,5

MCH 27,0 pg 27 - 32,3

RDW 12,5 % 12,1 - 14,3

MCHC 34,7 g/dL 31,8 - 34,7

PLT 450 H bin/uL 173 - 390

MPV 8,6 L fL 9,1 - 11,9

Lenfosit % 10,1 L % 18,3 - 45,7

Lenfosit 3,17 bin/uL 1,26 - 3,35

Monosit % 3,6 L % 4,2 - 11,8

Monosit 1,14 H bin/uL 0,2 - 0,5

Nötrofil % 86,1 H % 42,9 - 74,3

Nötrofil 27,14 H bin/uL 2,1 - 8,89

Eozinofil % 0,1 L % 0,2 - 5,3

Eozinofil 0,04 bin/uL 0,01 - 0,4

Bazofil % 0,1 % 0,1 - 1,2

Bazofil 0,04 bin/uL 0,01 - 0,07

PDW 8,7 L fL 9,9 - 15,4

IG# 0,25 H 10^3/ul <0,06

IG% 0,8 H <0,6


Yukarı Dön
Dr.KadirTugcu Açılır Kutu Gör
Uzman
Uzman


Kayıt Tarihi: 14 Ağu 2008
Durum: Aktif
Puanlar: 119292
Mesaj Seçenekleri Mesaj Seçenekleri   Teşekkürler (0) Teşekkürler(0)   Alıntı Dr.KadirTugcu Alıntı  Yanıt YazCevapla Mesajın Direkt Linki Gönderim Zamanı: 24 May 2024 Saat 09:47
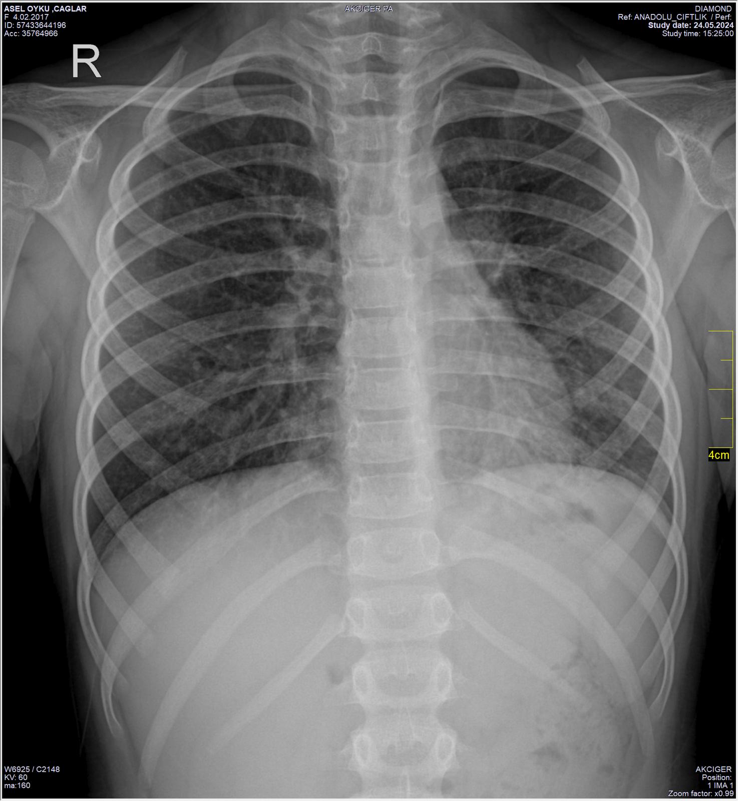
Akciğer Röntgeni HATALI çekilmiş!! 
Derin nefes alıp-tutarken çekilmesi gerekirken, akciğerler SÖNÜK iken çekilmiş. Eskiden her Grip hastasına;
astım derlerdi, artık kimse yemediğiği için, "Zatürre" diyorlar! 
1- Türk doktorları ASLA Grip teşhis etmezler... 
2- İlk seferinde Antibiyotiğe rahmen iyileşme olmamsaı da zaten Grip olduğunun isbatıdır. 
3- Zatürre hastalarında en önemli bulgular: Yüksek ateş, solunum sayısının 60 üstü olmasıdır. Bunlar yoksa
Zatürre değildir.
4- Alın size bir Türk doktor zırvası daha!!!   "Akciğer seslerinde tıkanıklık dendi"
Ne demek; "tıkanıklık"? Daha Zatürre olduğunda hangi tip ses duyulur ondan bile haberi yok!
5- EĞER!!! Antibiyotik yanında; kortizonlu sprey ve Allerji-Astım ilaçları verildi ise; daha kötü olamsının sebebi bu ilaçlardır.
"Sahtekarlığın 3 Safhası" yazımı okuyun. 

Tahlilleri hastane dışı, özel bir laboratuvarda, yaptırıp bana yazın. 

Yukarı Dön
elfkynr Açılır Kutu Gör
Üye
Üye


Kayıt Tarihi: 19 Ara 2022
Durum: Aktif Değil
Puanlar: 5
Mesaj Seçenekleri Mesaj Seçenekleri   Teşekkürler (0) Teşekkürler(0)   Alıntı elfkynr Alıntı  Yanıt YazCevapla Mesajın Direkt Linki Gönderim Zamanı: 24 May 2024 Saat 18:19
Doktor bey tahlilleri yeniden yaptırdık.Yaş: 7 kilo: 25 solunum:32 .Antibiyotik ardından ventolin ve inflacort verildi ama ben kullanmadım.Ağızda kökü koku dilde pas yok.genel durumu iyi.Öksürük ara ara geliyor ama yoğun peşpeşe öksürüyor.Gören 2 doktorun da bizi biraz korkutması neticesinde sabah tek doz antibiyotik başladık (infex 100mg erdostin balgam sökücü) Devam edelim mi?Değerleri şu şekilde:
crp 27,5      WBC 28,67 (Y) 10³/μl 3,84 - 11,4
RBC 4,99 Milyon/mm³ 3,9 - 5,29
HGB 13,5 g/dL 10,6 - 14,5
HCT 38,2 % 32,2 - 43,5
PLT 445 (Y) 10³/μl 150 - 400
PCT 0,40 % 0,1 - 9,99
MCV 76,6 fL 74,4 - 90,6
MCH 27,1 pg 24,8 - 30,2
MCHC 35,3 (Y) g/dL 31,5 - 34,9
RDWsd 34,2 (D) fL 35,1 - 44,2
MPV 9,0 (D) fL 9,2 - 11,8
NEU % 81,5 (Y) % 22,4 - 74,7
LYM % 13,3 (D) % 15,5 - 57,8
MON % 4,7 % 4,1 - 12,3
EOS % 0,3 % 0 - 4,7
BASO % 0,2 % 0 - 0,7
NEU 23,35 (Y) 10³/μl 1,63 - 7,87
LYM 3,81 10³/μl 0,97 - 4,28
MON 1,35 (Y) 10³/μl 0,18 - 0,85
EOS 0,09 10³/μl 0,02 - 0,52
BASO 0,07 (Y) 10³/μl 0,01 - 0,06
RDWcv 12,6 (D) % 13,6 - 17,3
PDWcv 9,3 fl 9 - 14
PLCR 16,4 % 14 - 50,4
IG # 0,25 (Y) 10?/L 0,01 - 0,04
IG % 0,9 (Y) %
Yukarı Dön
elfkynr Açılır Kutu Gör
Üye
Üye


Kayıt Tarihi: 19 Ara 2022
Durum: Aktif Değil
Puanlar: 5
Mesaj Seçenekleri Mesaj Seçenekleri   Teşekkürler (0) Teşekkürler(0)   Alıntı elfkynr Alıntı  Yanıt YazCevapla Mesajın Direkt Linki Gönderim Zamanı: 24 May 2024 Saat 18:38
doktor bey eklemek istedim.Daha önceki yıllarda alerji teşhisi almıştı .işitme kaybı da mevcut.Mevsim geçişlerinde levmont ve burun spreyi kullanıyoruz. hastalık öncesinde de kullanıyorduk ve kullanmaya devam ettik.Oyüzden mi ilerledi bu kadar acaba?
Yukarı Dön
Dr.KadirTugcu Açılır Kutu Gör
Uzman
Uzman


Kayıt Tarihi: 14 Ağu 2008
Durum: Aktif
Puanlar: 119292
Mesaj Seçenekleri Mesaj Seçenekleri   Teşekkürler (0) Teşekkürler(0)   Alıntı Dr.KadirTugcu Alıntı  Yanıt YazCevapla Mesajın Direkt Linki Gönderim Zamanı: 24 May 2024 Saat 23:04
Ventolin; Astım ilacı!!! 
Inflacort; Kortizon. 
Allah akıl fikir versin. Bu salaklara kanıp da bu ilaçları verirseniz ne diyelim!! 
Enfeksiyon var  ve bu salaklar, kortizon ile bağışıklığı baskılıyorlar, ondan sonra da olmayan Zatürre oluyor!! 
Sadece, antibiyotik kullanın. 


Düzenleyen Dr.KadirTugcu - 25 May 2024 Saat 10:44
Yukarı Dön
elfkynr Açılır Kutu Gör
Üye
Üye


Kayıt Tarihi: 19 Ara 2022
Durum: Aktif Değil
Puanlar: 5
Mesaj Seçenekleri Mesaj Seçenekleri   Teşekkürler (0) Teşekkürler(0)   Alıntı elfkynr Alıntı  Yanıt YazCevapla Mesajın Direkt Linki Gönderim Zamanı: 25 May 2024 Saat 00:01
Yazılarınızı okuyup  verdiğiniz bilgilere  istinaden bu ilaçları hiç kullanmadık.Zaman ayırıp bize yardımcı oldunuz çok teşekkür ediyoruz doktor bey sağolun.
Yukarı Dön
 Yanıt Yaz Yanıt Yaz
  Konu Paylaş   

Forum Atla Forum İzinleri Açılır Kutu Gör

  | İletişim | Reklam | Gizlilik İlkeleri Copyright 2007-2025 ® NETATÖLYE - Tüm hakları saklıdır. İzinsiz alıntı yapılamaz.